Los investigadores han encontrado pruebas a largo plazo de que el monitoreo activo del cáncer de próstata localizado es una alternativa segura a la cirugía o radioterapia inmediatas.
Las conclusiones, dadas a conocer el sábado, son alentadoras para los hombres que desean evitar problemas de incontinencia o de sexualidad relacionadas con los tratamientos, dijo el doctor Stacy Loeb, especialista en cáncer de próstata en el hospital NYUA Langone Health que no participó en la investigación.
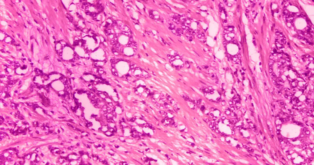
El estudio comparó directamente los tres enfoques: la cirugía para extirpar tumores, la radioterapia y la vigilancia.
Como en la mayoría de los casos el cáncer se desarrolla lentamente los efectos de la enfermedad tardan años en manifestarse.
“No hubo diferencia en la mortalidad por cáncer de próstata a 15 años entre los grupos”, dijo Loeb. Y fue alta la tasa de sobrevivencia en los tres grupos: 97% independientemente de la opción de tratamiento. “Esas también son buenas noticias”.
Las conclusiones fueron publicadas el sábado en la revista New England Journal of Medicine y presentados durante la conferencia de la Asociación Europea de Urología en Milán, Italia. El Instituto Nacional de Investigaciones de Salud y Cuidados financió la investigación.
Los hombres a los que les diagnostique cáncer de próstata localizado no deben entrar en pánico ni apresurar su decisión para un tratamiento, dijo el principal autor del estudio, el médico Freddie Hamdy, de la Universidad de Oxford.
Lo que sí deben hacer es “considerar cuidadosamente los posibles beneficios y perjuicios de las opciones de tratamiento”.
Un reducido número de hombres en situación de alto riesgo o con la enfermedad avanzada necesitan tratamiento urgente, agregó.
Los investigadores observaron a más de 1.600 hombres británicos que aceptaron ser asignados al azar a cirugía, radioterapia o vigilancia activa.
Los pacientes tenían localizado el cáncer en la próstata, una glándula del tamaño de una nuez que forma parte del sistema reproductivo.
Los hombres que estaban en el grupo de vigilancia eran sometidos con regularidad a exámenes de sangre y algunos fueron sometidos a cirugía o radiación.
Los fallecimientos por cáncer de próstata alcanzaron 3,1% en el grupo de vigilancia activa, 2,2% en el grupo enviado a cirugía y 2,9% en el grupo de radioterapia, diferencias consideradas estadísticamente insignificantes.

